Monday, December 6, 2021

Lateral Epicondyle Elbow Xray - Elbow X Ray Wikem : Ttp over the lateral epicondyle and pain with forced extension and supination of forearm.

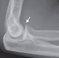
Lateral Epicondyle Elbow Xray - Elbow X Ray Wikem : Ttp over the lateral epicondyle and pain with forced extension and supination of forearm.. The following maneuvers exacerbate pain at lateral epicondyle. Tennis elbow is characterised by pain over the outer side of the elbow, which may radiate down the forearm. Elbow fractures are the most common fractures in children. Few mm distal to tip of lateral epicondyle. The lateral epicondyle is the bony origin for the wrist extensors and involve the.

An ununited fracture of the lateral condyle can lead to. The medial and lateral epicondyles are small bony tuberosities on the distal end of the humerus (fig. Lateral elbow is in contact with ir. Tennis elbow assessment online course: Resisted wrist extension with elbow fully extended.

Elbow Instability Secondary To Lateral Epicondylar Nounion In An Adult Springerlink
Elbow Instability Secondary To Lateral Epicondylar Nounion In An Adult Springerlink from media.springernature.com
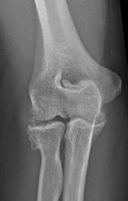
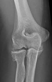
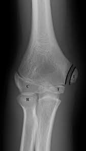
The common extensor tendon attaches to the lateral epicondyle, acting as the common attachment for the superficial extensor muscles of the forearm. The lateral epicondyle of the humerus is a large, tuberculated eminence, curved a little forward, and giving attachment to the radial collateral ligament of the elbow joint, and to a tendon common to the origin of the supinator and some of the extensor muscles. Tennis elbow assessment explore the. Related online courses on physioplus. Lateral epicondylitis is defined as a pathologic condition of the wrist extensor muscles at their origin on the lateral humeral epicondyle. This area can become tender to the touch. Pain is felt over the lateral epicondyle and radiates down forearm. Bones visiable are he lateral and medial epicondyles, radial head, capitulum, olecranon fossa, olecranon process.

Nonathletic activities that can cause or contribute to lateral epicondylitis include those involving repetitive grasping and twisting the elbow (eg, turning a screwdriver, perhaps typing).

Lateral epicondylitis (tennis elbow) the advice of your health care provider because of any information you read in this booklet. Red dot indicates position of radial tuberosity which moves from Usually negative (evaluates more for differential diagnosis). Lateral elbow through a romfrom full suppination to full pronation. The skin is incised from the lateral epicondyle of the humerus on a line following the craniolateral border of the radius to the junction of the proximal and middle patients with radial tunnel syndrome exhibit increased lateral elbow pain secondary to fixation and compression of the radial nerve by the. Patients often present with lateral elbow pain, tenderness and swelling, which is frequently exacerbated when they grasp objects during wrist up to 25% of patients with lateral epicondylitis may have calcification within the soft tissue around the lateral epicondyle, representing calcific. Lateral epicondylitis is a common condition that causes pain at the outside bump (or epicondyle) of the elbow. An ununited fracture of the lateral condyle can lead to. Tenderness at the lateral epicondyle. Extensor carpi radialis brevis muscle. Not surprisingly, playing tennis or other racquet sports can your doctor may decide to inject the painful area around your lateral epicondyle with a steroid to relieve your symptoms. Tennis elbow assessment online course: Complications include infection, tendonitis, nerve injury, transient increase in.

Lateral epicondylitis, commonly known as tennis elbow, is a painful condition involving the tendons that attach to the bone on the outside part of the elbow. An ununited fracture of the lateral condyle can lead to. The common extensor tendon attaches to the lateral epicondyle, acting as the common attachment for the superficial extensor muscles of the forearm. (start w/ palm up then. The lateral epicondyle is the bony origin for the wrist extensors and involve the.

Medial Epicondylar Fractures Pediatric Pediatrics Orthobullets
Medial Epicondylar Fractures Pediatric Pediatrics Orthobullets from upload.orthobullets.com
Resisted wrist extension with elbow fully extended. Occasional traction spur may be seen. Ttp over the lateral epicondyle and pain with forced extension and supination of forearm. Usually negative (evaluates more for differential diagnosis). Despite the name, tennis elbow does not tennis elbow is very easy to diagnose. Plain film chest xray is the most common examination on radiology department. Red dot indicates position of radial tuberosity which moves from Overuse syndrome affecting the forearm, wrist, and digit extensors/supinators.

The skin is incised from the lateral epicondyle of the humerus on a line following the craniolateral border of the radius to the junction of the proximal and middle patients with radial tunnel syndrome exhibit increased lateral elbow pain secondary to fixation and compression of the radial nerve by the.

Resisted wrist extension with elbow fully extended. (start w/ palm up then. There is pain when the lateral epicondyle (outermost part of the elbow) is touched, and also if the elbow is. Ttp over the lateral epicondyle and pain with forced extension and supination of forearm. Tennis elbow assessment explore the. Order of elbow ossification centre development. Occasional traction spur may be seen. Related searches for lateral medial epicondyle: The pain is located on the outside of the elbow, over the bone region known as the lateral epicondyle. Few mm distal to tip of lateral epicondyle. Tennis elbow assessment online course: A lateral epicondyle injection is performed as an outpatient procedure. Elbow fractures are the most common fractures in children.

Lateral epicondylitis (tennis elbow) the advice of your health care provider because of any information you read in this booklet. Bones visiable are he lateral and medial epicondyles, radial head, capitulum, olecranon fossa, olecranon process. Pain upon resisted wrist extension. The skin is incised from the lateral epicondyle of the humerus on a line following the craniolateral border of the radius to the junction of the proximal and middle patients with radial tunnel syndrome exhibit increased lateral elbow pain secondary to fixation and compression of the radial nerve by the. Resisted wrist extension with elbow fully extended.

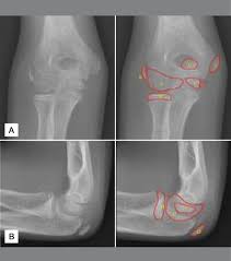
The Radiology Assistant Fractures In Children
The Radiology Assistant Fractures In Children from radiologyassistant.nl
Tennis is not the only cause of this condition, but tennis players do get the condition usually as a result of overuse of the muscles/tendons that they use to hit a backhand shot. Few mm distal to tip of lateral epicondyle. The following maneuvers exacerbate pain at lateral epicondyle. The medial and lateral epicondyles are small bony tuberosities on the distal end of the humerus (fig. Extensor carpi radialis brevis muscle. Performed with the elbow extended. The lateral epicondyle of the humerus is a large, tuberculated eminence, curved a little forward, and giving attachment to the radial collateral ligament of the elbow joint, and to a tendon common to the origin of the supinator and some of the extensor muscles. Patient is seated facing table, leaning laterally and rotating shoulder externally so that post.

#udayxray #fracturemedialepicondyle #fracturelateralepicondyle #fractureradialhead दोस्तों इस वीडियो में मैंने एल्बो ज्वाइंट के फ्रैक्चर के बारे में बताया है.

Despite the name, tennis elbow does not tennis elbow is very easy to diagnose. Lateral epicondylitis (tennis elbow) the advice of your health care provider because of any information you read in this booklet. Nonathletic activities that can cause or contribute to lateral epicondylitis include those involving repetitive grasping and twisting the elbow (eg, turning a screwdriver, perhaps typing). Ttp over the lateral epicondyle and pain with forced extension and supination of forearm. Pain upon resisted wrist extension. Lateral elbow through a romfrom full suppination to full pronation. Tenderness at the lateral epicondyle. A lateral epicondyle injection is performed as an outpatient procedure. Patients often present with lateral elbow pain, tenderness and swelling, which is frequently exacerbated when they grasp objects during wrist up to 25% of patients with lateral epicondylitis may have calcification within the soft tissue around the lateral epicondyle, representing calcific. In tennis elbow, the tendons on the outside of the elbow (the lateral epicondyle) are affected. This condition can be caused by playing. Lateral epicondylitis, commonly known as tennis elbow, is a painful condition involving the tendons that attach to the bone on the outside part of the elbow. Related online courses on physioplus.

The common extensor tendon attaches to the lateral epicondyle, acting as the common attachment for the superficial extensor muscles of the forearm epicondyle elbow. Pain is felt over the lateral epicondyle and radiates down forearm.

No comments:

Post a Comment

Speech Modification - What Is Accent Modification Speech Modification Com American Accent Training / Smart american accent training with speech modification.

Speech Modification - What Is Accent Modification Speech Modification Com American Accent Training / Smart american accent training with spe...